Bioterrorism
<< BACK
Bioterrorism Laboratory Testing

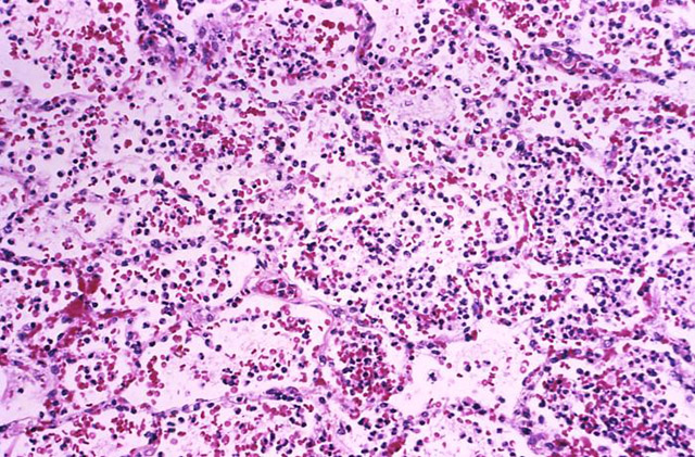
This photomicrograph depicts the histopathologic changes
in lung tissue in a case of fatal human plague pneumonia.